Globally, fungal biomass accounts for approximately 12 Gt (gigaton) of carbon (C), ∼70% more than that of the total soil bacterial biomass (∼7 Gt C). Compared to prokaryotes, fungi possess unique ecological, biological, and morphological plasticity in their responses to “extreme” environments, e.g., acid mine drainage; sites contaminated with high levels of organic and inorganic pollutants; and extremes of pH, alkalinity and temperature. Over the ∼1.0-billion years of evolution, fungi have acquired many of their biofunctionalities, e.g., degradation of organic matter, phosphorus acquisition, and symbiosis. However, fungal evolution in degrading organic pollutants lags behind the rapid increase of synthetic organic pollutants in this new and human-influenced geological epoch, the Anthropocene. How fungi will evolve in successfully coping with organic pollutants remains poorly understood.
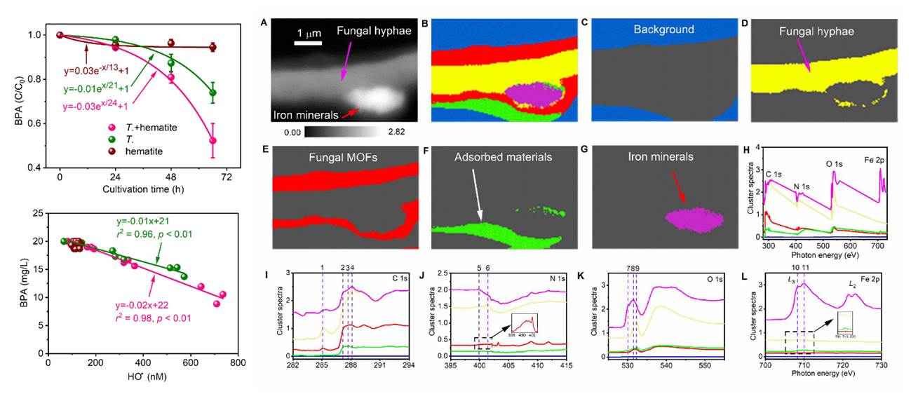
Inspired by the natural fungal sporulation process, the group of Yu et al. (2022) demonstrated that fungal biomineralization triggered the formation of an ultrathin (hundreds of nanometers thick) exoskeleton, enriched in nanosized iron (oxyhydr)oxides and biomolecules, on the hyphae. Mapped biochemical composition of this coating at a subcellular scale via high spatial resolution (down to 50 nm) synchrotron radiation-based techniques confirmed aromatic C, C−N bonds, amide carbonyl, and iron (oxyhydr)oxides as the major components of the coatings. This nanobiohybrid system appeared to impart a strong (×2) biofunctionality for fungal degradation of bisphenol A through altering molecular-level trade-offs between lattice oxygen and oxygen vacancy (Figure 1).
Using well-controlled fungal−mineral cultivation experiments, this group showed that fungi possessed a robust defect engineering strategy to modulate the POD-like activity of the attached iron minerals by decreasing the catalytic activity of poorly ordered ferrihydrite but enhancing that of well-crystallized hematite (Figure 2). The dynamics of POD-like activity were found to reside in molecular trade-offs between lattice oxygen and oxygen vacancies in the iron nanoparticles, which may be located in a cytoprotective fungal exoskeleton. This group further proposed a schematic model illustrating the formation of fungal coatings and the mechanisms about the degradation of organic pollutants (Figure 3). Together, fungal coatings could act as “artificial spores”, which enable fungi to combat physical and chemical stresses in natural environments, providing crucial insights into fungal biomineralization and coevolution of the Earth’s lithosphere and biosphere.
Recently, these works have been published by Environmental Science & Technology (2022, 56(1): 672–680; 2022, 56: 10.1021/acs.est.2c01388). The authors thank the technical support at the BL08U1-A, BL02B01, and BL014W1 beamlines at the Shanghai Synchrotron Radiation Facility (SSRF), and the soft X-ray spectromicroscopy (SM) 10ID-1 beamline at the Canadian Light Source (CLS). This study was supported by the National Key Research and Development Program of China (2020YFC1806803) and the National Natural Science Foundation of China (41977271). H.H.T. acknowledges research support of the National Natural Science Foundation of China (41830859). G.M.G. gratefully acknowledges research support of the Geomicrobiology Group from the Natural Environment Research Council, UK (NE/M010910/1 and NE/M 011275/1).

Figure 1. Bioaugmentation of BPA degradation in the presence of hematite and STXM-NEXAFS spectromicroscopy with PCA analysis of fungal coatings (after 66 h cultivation).

Figure 2. Relationship between OV and POD-like activity. T.+Fh, T. guizhouense plus ferrihydrite; T.+Goe, T. guizhouense plus goethite; T. +Hem, T. guizhouense plus hematite; T.+Hem (001), T. guizhouense plus hematite (001); T.+Hem (012), T. guizhouense plus hematite (012); OV, oxygen vacancy. POD, peroxidase. Data are mean ± SD (n = 3). **p < 0.01.

Figure 3. Schematic model illustrating the formation of fungal coatings and the mechanisms about the degradation of organic pollutants.
Article information
1. Zhi-Lai Chi, Guang-Hui Yu*, Andreas Kappler, Cong-Qiang Liu, Geoffrey Michael Gadd. Fungal-mineral interactions modulating intrinsic peroxidase-like activity of iron nanoparticles: Implications for the biogeochemical cycles of nutrient elements and attenuation of contaminants. Environmental Science & Technology, 2022, 56(1): 672–680.
2. Zhi-Lai Chi, Guang-Hui Yu*, H. Henry Teng, Hai-Gang Liu, Jian Wang, Cong-Qiang Liu, Qi-Rong Shen, Geoffrey Michael Gadd. Molecular trade-offs between lattice oxygen and oxygen vacancy drive organic pollutant degradation in fungal biomineralized exoskeletons. Environmental Science & Technology, 2022, 56: 10.1021/acs.est.2c01388.
Website: https://doi.org/10.1021/acs.est.2c01388 and https://doi.org/10.1021/acs.est.1c06596